Za 300kn najmodernijim laserom produljiti ćemo Vam vidljivi dio zuba i tako postići željeni osmjeh.
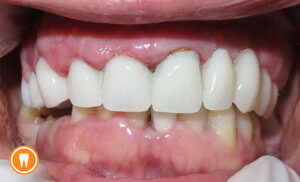
Kod velikog broja pacijenata, estetski problem predstavlja tzv. “gummy smile” tj. osmijeh kod kojeg se vide zubi gornje čeljusti, ali i veliki dio zubnog mesa. Zahvaljujući Waterlase iPlus laseru, produljujemo kliničku krunu, smanjujemo vidljivost zubnog mesa, a optički povećavamo dužinu prednjih kao i lateralnih (bočnih) zubi. Na taj način dobivamo toliko željenu simetriju i u konačnici prekrasan osmijeh.





